struka(e): medicina
ilustracija
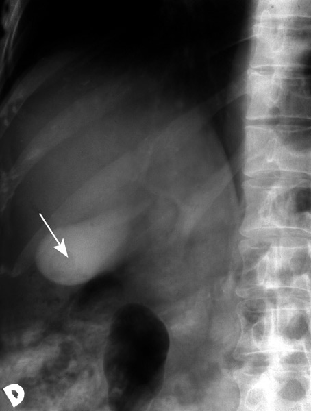
KOLECISTOGRAFIJA, u dnu žučnog mjehura ispunjena kontrastom nalazi se okrugla sjena žučnog kamenca (strjelica)

kolecistografija (grč. χολή: žuč + cisto- + -grafija), radiološka metoda prikazivanja žučnoga mjehura posebnim kontrastnim sredstvom koje se, uzeto na usta, nakupi u žučnome mjehuru nakon 12 do 14 sati. Kako u nakupljanju kontrastnoga sredstva sudjeluju mnogobrojni čimbenici, ta metoda nije jednako pouzdana kao kolangiokolecistografija, gdje se kontrastno sredstvo ubrizgava intravenskom injekcijom ili infuzijom; rendgensko se snimanje obavlja nakon 30, 60 i 120 min, pa se analiziraju žučni vodovi i žučni mjehur.

Citiranje:

kolecistografija. Hrvatska enciklopedija, mrežno izdanje. Leksikografski zavod Miroslav Krleža, 2013. – 2026. Pristupljeno 15.2.2026. <https://www.enciklopedija.hr/clanak/kolecistografija>.